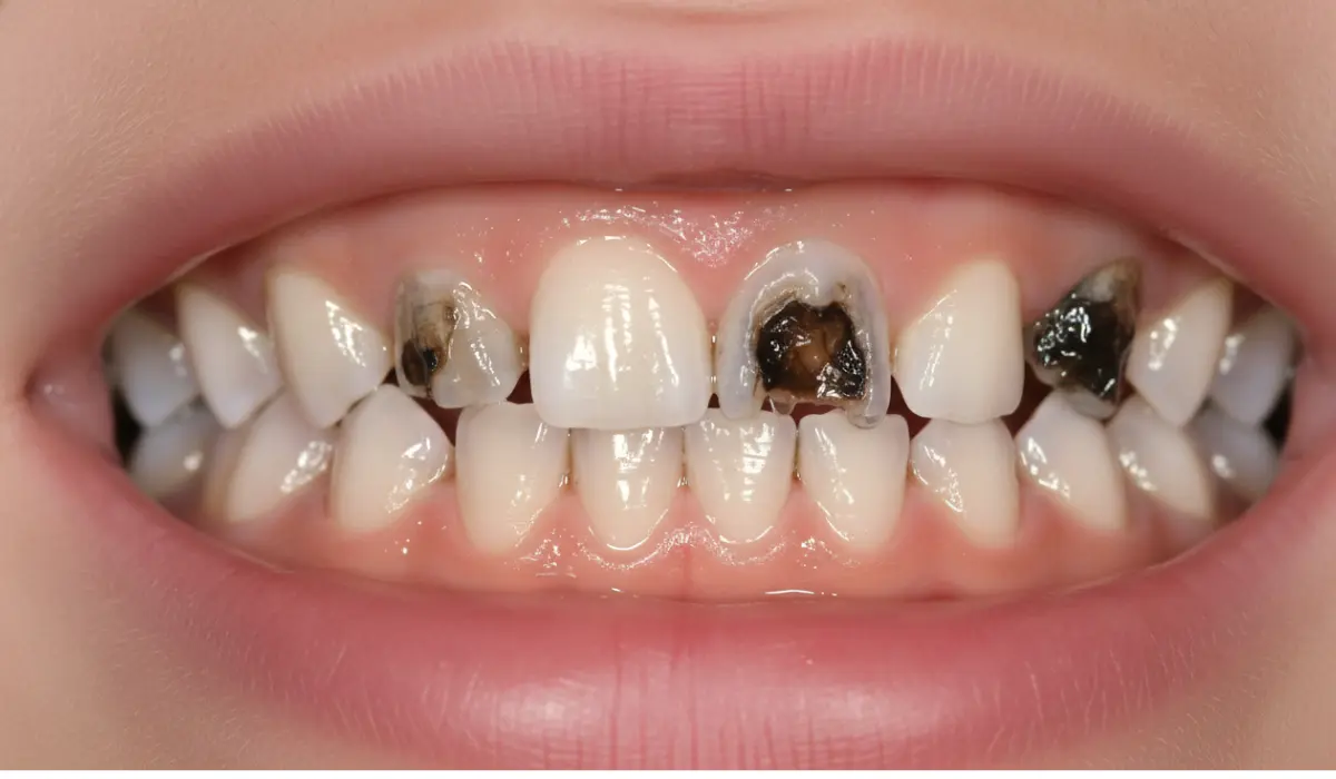
Front teeth with dark cavities and decay, a common sign of Baby Bottle Tooth Decay in infants and toddlers

What Is Baby Bottle Tooth Decay? Causes, Signs, and Treatment

Home » What Is Baby Bottle Tooth Decay? Causes, Signs, and Treatment

Medically reviewed by Dr. Yury Slepak, DDS – Diplomate, American Board of Pediatric Dentistry | 15+ Years Experience | Last Updated: March 2026

Baby bottle tooth decay, also called bottle rot or early childhood caries, is severe tooth decay in infants and toddlers caused by prolonged exposure to sugary liquids like milk, formula, or juice. It typically affects the upper front teeth first and can progress quickly if not treated. The good news is that baby bottle tooth decay is entirely preventable, and treatment is available if your child already shows signs of decay.

If you have noticed white spots, discoloration, or damage on your baby’s teeth, you may be dealing with baby bottle tooth decay. This condition is more common than many parents realize, but understanding the causes and warning signs can help you protect your child’s smile.

What Causes Baby Bottle Tooth Decay?

Baby bottle tooth decay occurs when a baby’s teeth are frequently exposed to sugary liquids for extended periods. The most common causes include:

  • Falling asleep with a bottle is the primary cause. When a baby falls asleep with a bottle of milk, formula, or juice, the liquid pools around the teeth throughout the night. The natural sugars in these drinks feed bacteria in the mouth, which produce acid that attacks tooth enamel.
  • Frequent sipping from bottles or sippy cups throughout the day keeps teeth constantly bathed in sugar. Each sip triggers an acid attack that lasts about 20 minutes. When a child sips continuously, the teeth never get a break from this acid exposure.
  • Dipping pacifiers in sugar or honey to soothe a fussy baby introduces sugar directly to the teeth. This practice significantly increases cavity risk.
  • Bacteria transfer from caregivers also plays a role. The bacteria that cause cavities can be passed from parent to baby through shared utensils, cleaning a pacifier with your mouth, or testing food temperature with your lips before feeding. Once these bacteria establish in your baby’s mouth, they contribute to decay.
  • Limited fluoride exposure may increase risk. Fluoride helps strengthen tooth enamel and protect against decay. Babies who do not receive adequate fluoride may be more vulnerable.

Baby teeth have thinner enamel than adult teeth, which means decay can progress faster. What starts as a small problem can quickly become a significant issue without intervention.

What Does Baby Bottle Tooth Decay Look Like?

Recognizing the signs of baby bottle tooth decay early gives you the best chance of successful treatment with minimal intervention.

  • Early stage: Look for chalky white spots or lines on the teeth, usually near the gumline. These white spots indicate that minerals are being lost from the enamel. At this stage, the damage may still be reversible with fluoride treatment and improved oral care.
  • Progressing decay: The white spots begin to turn yellow or light brown. The teeth may start to look dull rather than shiny. You might notice the discoloration spreading or becoming more noticeable.
  • Advanced decay: Teeth turn dark brown or black. You may see visible holes, pits, or crumbling areas on the teeth. In severe cases, teeth may break off or appear significantly damaged. At this stage, professional treatment is essential.

Baby bottle tooth decay most commonly appears on the upper front teeth because of how babies drink from bottles. The nipple rests against the palate, and liquid flows over the upper front teeth while the tongue protects the lower teeth. This is why you may notice damage to the top front teeth while the bottom teeth look fine.

Why Are the Upper Front Teeth Affected First?

Parents often wonder why baby bottle tooth decay targets the upper front teeth specifically. The answer lies in the mechanics of bottle feeding.

When a baby drinks from a bottle, the nipple sits against the roof of the mouth. The liquid flows down over the upper front teeth before being swallowed. These teeth receive the most direct and prolonged exposure to whatever is in the bottle.

Meanwhile, the tongue naturally covers and protects the lower front teeth during feeding. The lower teeth also benefit from more saliva flow, which helps wash away sugars and neutralize acid.

The upper front teeth also have less saliva protection in general. Saliva plays an important role in rinsing teeth and buffering acid, but it does not reach the upper front teeth as effectively as other areas of the mouth.

This is why you might see significant decay on the upper front teeth while the rest of your baby’s mouth looks healthy. Unfortunately, these are also the most visible teeth, affecting your child’s smile and potentially their self-confidence as they grow.

Can Baby Bottle Tooth Decay Be Reversed?

Whether baby bottle tooth decay can be reversed depends on how far it has progressed.

  • Very early decay that appears as white spots may be reversible. At this stage, the enamel has lost minerals but has not yet developed an actual hole. With improved oral hygiene, reduced sugar exposure, and professional fluoride treatment, the enamel may be able to remineralize and strengthen.
  • Once a cavity has formed, meaning there is an actual hole in the tooth, the damage cannot be reversed on its own. The tooth will need professional treatment to prevent the decay from spreading further.

This is why catching baby bottle tooth decay early is so important. If you notice any white spots or discoloration on your baby’s teeth, schedule a dental appointment promptly. Early intervention can make a significant difference in the outcome.

“We use gentle tools to remove plaque and tartar, polish teeth, and apply flavored fluoride gel or varnish to strengthen enamel,” explains Dr. Yury Slepak, board-certified pediatric dentist at Bite Squad Dental of NYC. “For early decay, fluoride treatments can help protect teeth and may reverse damage before it becomes a cavity.”

How Is Baby Bottle Tooth Decay Treated?

Treatment depends on the severity of the decay and the age of your child.

  • Fluoride treatments may be sufficient for very early decay that has not yet formed a cavity. Professional fluoride application helps strengthen weakened enamel and can halt the progression of early decay.
  • Tooth-colored fillings are used when cavities have formed. The dentist removes the decayed portion of the tooth and fills it with composite resin that matches the natural tooth color. At Bite Squad Dental, we use techniques to keep children comfortable during filling procedures, including numbing gels and distraction methods.
  • Dental crowns may be necessary for teeth with extensive decay. Crowns cover and protect the remaining tooth structure. For baby teeth, stainless steel crowns are often used on back teeth, while tooth-colored options are available for front teeth that show when your child smiles.
  • Pulp therapy is required when decay has reached the nerve inside the tooth. This procedure, similar to a root canal for baby teeth, removes infected tissue and preserves the tooth. “We remove the infected pulp, disinfect the tooth, and fill it with a biocompatible material to preserve the tooth,” explains Dr. Slepak.
  • Extraction is a last resort when a tooth cannot be saved. If a baby tooth must be removed, a space maintainer may be recommended to hold the spot for the permanent tooth.

For young children who need extensive treatment or who have difficulty sitting still, sedation options are available. Bite Squad Dental offers laughing gas for mild anxiety and has hospital sedation privileges for children requiring more complex treatment under general anesthesia.

Does My Child Need Treatment If Baby Teeth Will Fall Out Anyway?

This is one of the most common questions parents ask, and the answer is yes, treating baby tooth decay is important even though these teeth are temporary.

  • Untreated decay causes pain. Cavities can make it difficult for your child to eat, sleep, and concentrate. No child should have to endure preventable tooth pain.
  • Infection can spread to permanent teeth. The permanent teeth are developing in the jawbone directly beneath the baby teeth. Severe infection in a baby tooth can damage the permanent tooth waiting to come in.
  • Baby teeth hold space for permanent teeth. When a baby tooth is lost too early due to decay, neighboring teeth may shift into the gap. This can cause crowding and alignment problems when permanent teeth try to emerge.
  • Oral health habits are established early. Children who experience dental pain may develop fear and anxiety about dental visits, making future care more difficult.
  • Decay can affect speech and nutrition. Baby teeth help children learn to speak clearly and chew food properly. Missing or damaged front teeth can affect both.

Treating baby bottle tooth decay protects your child’s comfort, development, and long-term oral health.

Is It Too Late If My Baby Already Has Bottle Rot?

If your baby already shows signs of baby bottle tooth decay, it is not too late to help them. Treatment is available at every stage, and taking action now prevents the problem from getting worse.

Many parents feel guilty when they learn their child has bottle rot. Please know that this is a common condition, and dentists see it regularly. You are not alone, and your pediatric dentist is here to help, not to judge.

The most important thing is to schedule an appointment and get your child evaluated. The sooner treatment begins, the simpler and more comfortable it will be for your child.

“For severe anxiety, we offer laughing gas or mild sedation,” notes Dr. Slepak. “We customize our approach based on the child’s needs, using communication, distractions, or sedation as required.”

Even if your child needs significant treatment, modern pediatric dentistry offers many options to keep children comfortable. Do not let worry or guilt prevent you from getting your child the care they need.

How to Prevent Baby Bottle Tooth Decay

Prevention is the best approach to baby bottle tooth decay. These habits can protect your baby’s teeth:

  • Never put your baby to bed with a bottle of milk, formula, or juice. If your baby needs a bottle to fall asleep, fill it with water only. The sugars in milk and juice can cause decay even in breast milk.
  • Avoid prolonged bottle or sippy cup use. Encourage your child to finish bottles in one sitting rather than sipping throughout the day. Transition to a regular cup by around 12 months.
  • Clean your baby’s gums and teeth after feedings. Before teeth appear, wipe gums with a clean, damp cloth. Once teeth come in, brush twice daily with an infant toothbrush and a rice-grain-sized smear of fluoride toothpaste.
  • Do not share utensils or clean pacifiers with your mouth. This helps prevent passing cavity-causing bacteria to your baby.
  • Limit juice and sugary drinks. Water and milk are the best choices. If you give juice, limit it to mealtimes and offer it in a cup rather than a bottle.
  • Do not dip pacifiers in sugar or honey. Find other ways to soothe your baby that do not involve introducing sugar to their mouth.
  • Schedule regular dental visits. Bring your baby to the dentist by their first birthday or when the first tooth appears. Regular checkups catch problems early.

“At least every 6 months to maintain healthy teeth and gums,” recommends Dr. Slepak. “Regular visits let us catch issues early when they are easiest to treat.”

Baby Bottle Tooth Decay Treatment in Brooklyn

Bite Squad Dental of NYC specializes in treating baby bottle tooth decay and helping families prevent it in the first place. Dr. Yury Slepak is a board-certified pediatric dentist with over 20 years of experience caring for infants, toddlers, and children throughout Brooklyn.

Our team understands that parents often feel worried or guilty when their child has dental problems. We provide compassionate, judgment-free care focused on helping your child feel comfortable and getting their oral health back on track.

Our Brooklyn office is designed for children, with a friendly environment and gentle approach that puts little ones at ease. We offer same-day appointments for urgent concerns so your child does not have to wait in discomfort.

For children who need extensive treatment, we have sedation options including laughing gas and hospital-based general anesthesia. Our hospital privileges at three medical facilities allow us to provide specialized care for children who need it.

With over 1,950 five-star Google reviews, Brooklyn families trust Bite Squad Dental for gentle, expert pediatric dental care.

Call 718-998-2424 to schedule your child’s appointment, or book online today.

FAQs About Baby Bottle Tooth Decay

Can breastfeeding cause baby bottle tooth decay? 

Breast milk does contain natural sugars, and prolonged nighttime breastfeeding can contribute to decay, particularly if the baby falls asleep while nursing and milk pools around the teeth. However, breastfeeding also provides important health benefits. The key is to wipe your baby’s gums and teeth after feedings and avoid letting your baby nurse continuously through the night after teeth have appeared.

At what age is my child no longer at risk for baby bottle tooth decay? 

The risk decreases significantly once your child stops using bottles and sippy cups and transitions to regular cups, typically around age 2 to 3. However, children can develop cavities at any age if oral hygiene and diet are not managed properly. Good habits established early protect teeth throughout childhood.

How quickly does baby bottle tooth decay progress? 

Baby bottle tooth decay can progress rapidly because baby teeth have thinner enamel than permanent teeth. What looks like a small white spot can become a significant cavity within a few months if the habits causing it continue. This is why early detection and intervention are so important.

Can baby bottle tooth decay spread to other teeth? 

Yes, the bacteria and conditions that cause decay in one tooth can affect other teeth as well. If the habits causing decay continue, other teeth will likely develop problems too. Treating the existing decay and changing the habits that caused it helps protect the remaining teeth.

Is baby bottle tooth decay painful for my child? 

In early stages, baby bottle tooth decay may not cause pain. As decay progresses deeper into the tooth, it can cause sensitivity and pain, especially with hot, cold, or sweet foods. Advanced decay with infection can cause significant discomfort. Children may not be able to articulate tooth pain clearly, so watch for signs like fussiness, difficulty eating, or touching their face or mouth.

What should I do if I notice white spots on my baby’s teeth? 

Schedule an appointment with a pediatric dentist as soon as possible. White spots may indicate early decay that can potentially be reversed with fluoride treatment and improved oral care. Do not wait to see if the spots get worse. Early intervention gives the best outcome.

About the Author

Dr. Yury Slepak is a board-certified pediatric dentist at Bite Squad Dental in Brooklyn who treats baby bottle tooth decay in infants and toddlers on a daily basis. With over 15 years of experience, he educates Brooklyn parents on prevention strategies including proper bottle habits, fluoride use, and early oral hygiene routines that protect primary teeth from nursing caries.

Disclaimer

Medically reviewed by Dr. Yury Slepak, DDS

This content is for educational purposes only and is not intended as medical advice, diagnosis, or treatment. Please consult a qualified healthcare provider for personalized recommendations.